All-on-4 Implant Dentures
- Live Pain-Free
- Feel Confident
- Look Beautiful
What are Implant-Supported Dentures?
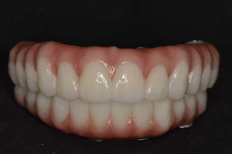
Implant-supported dentures are a revolutionary solution for replacing all upper and/or lower teeth. Unlike traditional dentures, they use dental implants to secure your new teeth in place—so you can eat, speak, and smile with total confidence.
Also known as:
- All-on-4
- Hybrid dentures
- Implant dentures
- Teeth-in-a-day
Key Benefits:
- Permanent, stable smile—no more slipping dentures
- Improved chewing and speaking ability
- Natural look and feel
- Enhanced confidence and quality of life

Effective Dental Solutions
Contact us to set up an appointment.
(775) 392-3209
![]()
Started the process of my dental implant that I’ve been waiting on for a few years. Couldn’t be happier with the process, the reassurance I got from Dr Torres and the excellent care and smooth process that it all has been. Highly recommend Carson Valley Dental Arts to any who have had a bad experience before. You will change your mind about dentistry!
- Alexandra
Why choose Carson Valley Dental Arts?

At Carson Valley Dental Arts, Dr. Matthew Torres and our caring team are dedicated to providing the highest quality implant and denture care. Dr. Torres continually advances his training in implant dentistry and restorative techniques, ensuring you receive expert, up-to-date treatment.
Our Promise:
- Personalized, compassionate care at every step
- Advanced technology, including CBCT imaging and digital smile design
- Patient-first approach: We are there to guide you on your journey
- Financing options are available, with a simple prequalification process
How it works: your implant denture journey
Step 1: Initial Consultation & Exam

During your first visit, Dr. Torres will take photos and X-rays to determine if implant-supported dentures are right for you. Impressions and facial scans follow, helping us design your perfect smile.
Step 2: Collaborative Planning & Design

Dr. Torres works closely with our dental lab and oral surgeon, evaluating your bone health and planning every detail for a smooth procedure. We’ll design your new teeth and create a custom guide for precise implant placement.
Step 3: “Teeth-in-a-Day” Surgery

On your big day, the oral surgeon provides gentle sedation, removes any remaining teeth, and places your implants. Dr. Torres then attaches your temporary teeth, so you leave with a secure, beautiful new smile.
Note: The teeth you leave with are temporary, allowing your mouth to heal over 2–3 months. Your final, permanent teeth come next!
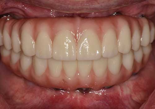
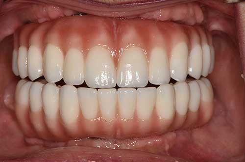
Step 4: Creating Your Final Smile

Once your implants are fully integrated, we craft your permanent set of teeth using durable zirconia or a custom titanium framework. This step lets us fine-tune the fit and appearance for your best possible outcome.
Step 5: Follow-up & Maintenance

Your hybrid denture will be removed once a year by the doctor so that the implants can be cleaned. Regular checkups every 6 months help keep your new smile healthy and beautiful. Some hybrid dentures are removable for easy cleaning, while others require periodic professional maintenance—just like replacing worn tires, occasional adjustments keep everything running smoothly.
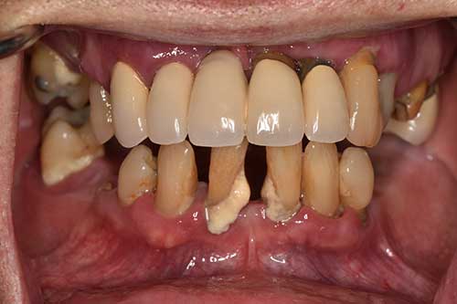
See the results
( scroll to see before and after)
Frequently Asked Questions
How are implant-supported dentures different from traditional dentures?
Can I get implants if I already have traditional dentures?
Can I get implant-supported dentures if I still have some of my teeth?
Ready To Transform Your Smile?
Take the first step toward living pain-free and feeling confident.
Call us today at (775) 392-3209
Our friendly team is here to answer all your questions and guide you every step of the way.
